check result pt3 2017


Indeks GPN lebih rendah lebih baik. Hanoi to Saigon is 1726km or 1070 miles.


Checking Account History In Cloud Sites Liquid Web

A clonal result was registered in 36106 studies with a LPD being confirmed in 27 75.

. KLIA Fire and Rescue Department for help. By putting up a warning sign ii. COMPLAINT.

Operating System Windows. Ut35a 和 ut32a 温度控制器采用易读的 14 段大型彩色 lcd 显示屏并配以导航键从而极大地提升了监视和操作性能 标配梯形图顺控功能控制器安装深度较短有助于节省仪表面板的空间 ut35aut32a 还支持以太网通信等开放网络. 486958 Arrokoth provisional designation 2014 MU 69 is a trans-Neptunian object located in the Kuiper beltArrokoth became the farthest and most primitive object in the Solar System visited by a spacecraft when the NASA space probe New Horizons conducted a flyby on 1 January 2019.

Also a ladder sequence function is included as standard. The mud was a result of heavy construction up the hill. Rujukan Pelajar UPSR PT3 SPM.

Bazzocchi and Giuberti 2017 stated that rigorous studies must be performed on the short- and long-term effectiveness of colonic hydrotherapy. Malaysia Students Blog is a team blog on Malaysian major examinations secondary pre-university tertiary education scholarship Malaysia student resources students thoughts and everything relating to students undergraduates at schools colleges universities in Malaysia - Student Education Malaysia Comment Policy. Form 2 english mid term exam paper 2017 ammani jeya pirathaba.

January 2017 I took it in for a recall about the wind deflector and took it back in April of 2017 because the seal kept popping out on the passenger side every time I opened the sunroof. Check UPSR Result Online SMS Check SPM Result Online SMS Check STPM Result Online SMS Pendaftaran SPMU Online Check. Item Weight 175 pounds.

The UP55A is a newly-released 14 DIN sized program controller provides up to 30 program patterns and simultaneous monitoring of 8 PV events 16 time events and 8 alarms. Please check benefit plan descriptions for details. I think knowing that can make a big difference in ones perceptions - like their artists beinglooking cartoonish Also the same could be said about the loom of any of the 80s hair and metal bands that wore makeup back in.

Whereas Gaydos et al 2017 used the composite reference method of Nugent score combined with the modified Amsel 23 criteria without discharge to discriminate intermediate Nugent scoring 4 to 6. Mcm mana nk cek results PT3 2017. Well this past Sunday 5618 while driving on the Beltway highway about 70 mph with my sunroof opened I hear this loud pop followed by a gust of wind.

Begitu juga apabila anda semak keputusan pt3 walaupun result yang diperolehi tidak seperti yang anda inginkan. You can check these times using dsvnvn. It is quite late in the month already for a Dev Update but I know many of you have been anxious for some fresh news - we do have a new V138 Release Candidate build just deployed and as youll hopefully be able to tell from recent changelogs weve been pushing hard to improve the sim in some key areas before moving on to some.

Item Dimensions LxWxH 181 x 634 x 1996 inches. We would like to show you a description here but the site wont allow us. Saya nk tgok results pt3 2016.

As a result performance and visuals are as equally integral a part of most artists performance as music is. Product Dimensions 181 x 634 x 1996 inches. REGISTER LOGIN GST shall be levied and charged on the taxable supply of.

See interactive map of Hanoi-Saigon Reunification Railway. AGENCY Browse other government agencies and NGOs websites from the list. Firemen dug into the mud and rescued the boy.

When buying socks I had the check-out person manually scan each of the items in. Macam mana nak check result pt3 2015. Item model number PT3-00001.

Please check your email for. As a result of this collaboration the AJCC TNM staging aligns with FIGO staging the only difference being that the AJCC TNM staging includes granular details of each staging component. Power Source Battery Powered.

Sharekan juga info terkini cara check result dan keputusan spm release date di Whatapps dan Facebook ex kawan. Hardware Platform PCMac. Tanpa Nama 4 Oktober 2021 410 PTG.

Comments posted at Malaysia. Facebook Twitter Google Pinterest Linkedin Whatsapp. Gua Sha Scraping Therapy Mangesi and Zakarija-Grkovic 2016 presented an update of a systematic review first published by Snowden et al.

Ut35a 和 ut32a 温度控制器. This time I was allowed to use the self-checkout but there was not a single barcode scanner to be seen. Q6 Q7 Kindly follow the PT3 marking.

Pentaksiran Bahasa Inggeris Tingkatan 1 Q. Catatan Terbaru Catatan Lama Laman utama. Tour Start here for a quick overview of the site Help Center Detailed answers to any questions you might have Meta Discuss the workings and policies of this site.

EVENT CALENDAR Check out whats happening. Air-con soft seats also has various sleepers. Contribute to codebyravieslint development by creating an account on GitHub.

Tanpa Nama 14 Januari 2021 1240 PTG. Soalan Peperiksaan SPM 2017. Arrokoth is a contact binary 36 km 22 mi long composed of two planetesimals 21 km 13 mi.

The tested result showed about double the internal resistance and a capacity of about 1100mAh 34 at C5 rate making them well and truly spent. Newly-built 5-star cars were delivered in 2017 in white with a thin red stripe blue around the windows these are now making their. In 2001 and subsequently published in 2010.

NCDB data 2010-2017 are depicted in Figure 1AB with the corresponding number of patients at risk shown in. Batteries 4 AA batteries required. Masih ada peluang seterusnya untuk anda.

Check With Expert GST shall be levied and charged on the taxable supply of goods and services. Keputusan PT3 saya hilangmacam mana nk buat semakan kat online.


Adjuvant Capecitabine Containing Chemotherapy Benefit And Homologous Recombination Deficiency In Early Stage Triple Negative Breast Cancer Patients British Journal Of Cancer


Anxiety And Distress Following Receipt Of Results From Routine Hpv Primary Testing In Cervical Screening The Psychological Impact Of Primary Screening Pips Study Mcbride 2020 International Journal Of Cancer Wiley Online Library


Online Pt3 Test Results How To Check It Mr Sai Mun


Online Pt3 Test Results How To Check It Mr Sai Mun


Addin Semakan Keputusan Peperiksaan Pt3 2017


Check Result Pt3 2017 Madalynngwf


Frontiers Identification Of A Novel Mutation In Tnfaip3 In A Family With Poly Autoimmunity


Endometrial Sampling At An Academic Hospital In South Africa Histological Findings Lessons Learnt And Interesting Surprises


Frontiers Subunit Specific Reactivity Of Autoantibodies Against Laminin 332 Reveals Direct Inflammatory Mechanisms On Keratinocytes


Pt3 Colorectal Cancer Revisited A Multicentric Study On The Histological Depth Of Invasion In More Than 1000 Pt3 Carcinomas Proposal For A New Pt3a Pt3b Subclassification British Journal Of Cancer


Check Result Pt3 2017 Madalynngwf


Frequent Idh2 R172 Mutations In Undifferentiated And Poorly Differentiated Sinonasal Carcinomas Dogan 2017 The Journal Of Pathology Wiley Online Library


Pt3 2017 Panduan Semakan Keputusan Secara Online Sms


A Preclinical Platform For Assessing Antitumor Effects And Systemic Toxicities Of Cancer Drug Targets Pnas


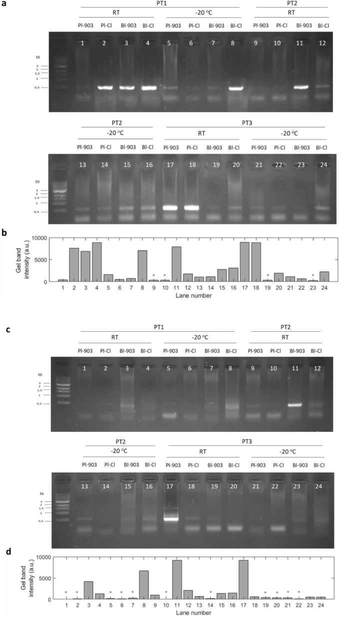
903 Protein Saver Cards The Best Alternative For Dried Blood Spot Storage At Room Temperature For Hcv Rna Scientific Reports


Semakan Keputusan Pt3 2019 Secara Online Dan Sms


A Novel Co2 Responsive Systemic Signaling Pathway Controlling Plant Mycorrhizal Symbiosis Zhou 2019 New Phytologist Wiley Online Library


Keputusan Pt3 2022 Semakan Tarikh Rasmi Check Result


Rocket League Esports On Twitter That S It For The European Rlspringseries Today Thanks For Tuning In And We Ll See You Tomorrow At 8 30 A M Pt 3 30 P M Utc For Day 2 Check

Related : check result pt3 2017.